If you look at a clearly healthy tooth for example the canine tooth next to this one. Thanks to the advent of Photon Induced Photoacoustic streaming PIPS a technology licensed to Fotona utilizing the Er Yag laser we can now eliminate bacteria in root canal teeth.
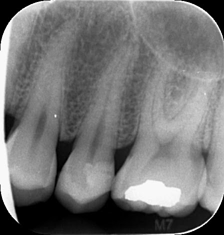
35 year old woman with pain in a tooth that had already had a root canal.
X ray of tooth that needs root canal. One of the most valuable aids that a dentist has in diagnosing a tooths need for root canal therapy is x-ray examination. In fact it seems unlikely that any evaluation of a suspect tooth wouldnt need to include at least some probably two or more conventional radiographs traditional 2-dimensional x-ray pictures. There is no indication of inflammation near the root tip which is the first indication of an infected tooth that can be seen on an x-ray.
And you are saying that the tooth feels fine. Finally there is some clear evidence on the x-ray that the root of the tooth is healthy. If you look at a clearly healthy tooth for example the canine tooth next to this one.
There is a thin white line that. Usually pain on lightly tapping the tooth or extreme sensitivity to hot and cold foods - are reasons enough for a root canal. An x-ray is taken after clinical examination just to make sure that the clinical diagnosis corroborates with the radiographic diagnosis.
No further tests are needed unless results dont line up. X-ray results fistulous tracts tooth discoloration and nerve exposure are the main indicators that a root canal is necessary. Dentists may also use testing methods to determine the need for a corresponding treatment.
X-rays during Root Canal Treatment Authored By. A patient undergoing endodontic treatment should expect to have radiographs taken at several stages during treatment. Radiographs are important for the dentist to identify structures harbouring disease as well as during the progression of the treatment as.
If it tooth has a radiographic area on the x-ray that can be visualized by the dentist this indicates it will need a root canalA new three dimensional x-ray which your dentist may be doing called a CBCT will better be able to see a change around the root of the tooth. Does an X-ray always show whether a tooth needs a root canal or not. Although radiographs often do show a widening of the ligament at the apex when an endodontic infection is present not all teeth that require root canal treatment do show this tell tale sign.
35 year old woman with pain in a tooth that had already had a root canal. Previously Treated and Symptomatic Apical Periodontitis X-Rays and a Cone Beam. My philosophy served a recent patient well.
She came to me as an emergency case experiencing lots of pressure and pain on a tooth that had already had a root canal. Diagnosing a tooths need for root canal treatment Tests your dentist performs. Heres an overview of the most common tests that dentistsendodontists use to further evaluate teeth suspected of needing root canal treatment.
Percussion testing thermal testing the electric pulp test selective anesthesia and the cavity test. No one wants to lose a tooth. This is very natural and normal.
Thanks to the advent of Photon Induced Photoacoustic streaming PIPS a technology licensed to Fotona utilizing the Er Yag laser we can now eliminate bacteria in root canal teeth. This is the good news and a game changer in root canal therapy. One of the easiest and most accurate ways to identify decaying teeth is through the use of root canal x-rays or specifically conventional radiographs that provide a 2-D image of the teeth.
Here are the signs that show in root canal x-rays which would call for a need of root canal in a decaying tooth. 1 Periapicalradiolucencis these are dark spots that can be found at the. Initially x-rays help to properly diagnose the need for root canal treatment and assist dentists to visualize structures that are usually hidden by the gums.
Three important structures for a root canal are. The root canal space. Bone surrounding the tooth.
These three structures are impossible to see with the naked. Root Canal Treatment Failures are becoming the 3rd most common cause of tooth extraction after Caries and mobility. With the increase in root canal treatment failures it becomes the duty of Dentists to make sure that root canal treatments are undergone with proper care and by following the proper technique like.
Also a dead tooth frequently gets discolored withor without Invisalign but only time will tell if that will be a fate for your tooth. I have a similar case and we decided to wait with the patient and just monitor the tooth rather than jumping to do. On the before x-ray you can see the condition of the tooth when the patient presented to the office.
The reason for needing a root canal is often a recurrent decay that is too close to the nerve andor the infection at the root of the tooth called apex the darker area surrounding the root as seen on the before x-ray. A CBCT is a 3-dimensional X-ray that allows the endodontist to look at the tooth in all planes to help diagnose a pattern of bone loss that may be indicative of a vertical fracture canal anatomy that may not have been addressed in the original endodontic therapy and other factors that will help your endodontist determine the best treatment. In fact its early acute phase periapical periodontitis a tooth can look perfectly fine on an X-ray but tap on that tooth with a mirror handle and the patient may well want to throttle you.
So the best way of diagnosing an issue that will require root canal treatment is by 3 methods combined. Some Signs That Your Dentist Might See That Suggest You May Need a Root Canal. Sometimes a dentist will find conditions in your teeth that require a root canal.
Issues identified by X-ray X-rays show infection as dark spots located at the tip of the roots of the tooth. Gum pimples pimple-like gum lesions are often caused by infected teeth. If the tooth is nonvital because the calcification has destroyed the pulp tissue it may or may not need root canal therapy.
If there is no pain or any area around the apex of the tooth on an xray do nothing. If there is a decalcified area around the apex andor there is pain do the endo. Learn what root canals look like in an x-ray in this dental health video from an experienced dentistExpert.
What your rotten teeth really look like. He never even introduced himself or said hi to me. He asked me my problems and i said this is my issue etc.
He said i need 1 root canal and re-do another old root canal as he wasnt happy of how it looked on the X-ray. And 1 filling and a crown. Your dentist can do some easy tests to determine whether you need a root canal such as putting something hot or cold next to the tooth or taking an x-ray of the tooth.
You might need root canal when theres an infection in the tooth or the tooths pulp is damaged. The pulp can get infected from an untreated cavity.