Veneers are most appropriate in cases where teeth appear to be yellowed or brown or showing signs of decay or staining that are hard to cover up. Side Effects What to Expect.
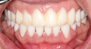
It is placed over the outer portions of your teeth to create an illusion of perfect shiny teeth.
Veneers side effects long term. May 01 2021. Porcelain veneers are an efficient and effective method of dramatically improving the color and shape of your teeth. Veneers are tooth-shaped covers explicitly customized for you to hide blemishes and alter the size and shape of imperfect teeth.
The long-term effects associated with veneer implants are minimal. Dental veneers may eventually break off or become worn down. While this is considered a long-lasting treatment patients should know that dental veneers may need to be replaced at some point in the future.
Veneers may be expensive to keep up over the years as. Veneers can also experience damage if you bite down on or chew a hard item such as ice pencils or even your fingernails. Such behavior can place too much pressure on dental veneers causing them to loosen or fall off altogether.
Side Effects What to Expect. If you are looking to improve your smile there are many different ways you can go. One way that may be a quick fix to many issues or a more secure way to ensure longevity with treatment is porcelain veneers.
Porcelain veneers can fix many issues such as teeth that are discoloured worn chipped. The risks and side effects associated with porcelain veneers are very mild as the porcelain veneer procedure is non-invasive. Here are some risks and side effects to be aware of.
Porcelain veneers are not removable. The placing of porcelain veneers requires the removal of a thin layer of enamel in order to bond the veneer to the tooths surface. Once enamel is removed it will not repair itself and is.
Whats more veneers dont seem to last as long as they once did. Research has found half may need to be replaced and 34 per cent will be fractured after six to ten years in the Eighties studies. Veneers are most appropriate in cases where teeth appear to be yellowed or brown or showing signs of decay or staining that are hard to cover up.
But at other practices depending on where you live porcelain veneers can cost 1000 to 4000 per tooth while composite veneers can cost 300 to 1500 per tooth. Some of the signs that its time to replace your porcelain veneers are that they are chipped or cracked. Replacing veneers is similar to the initial installation of the porcelain veneers.
Your dentist will file away and refine the bonding agent retake a mold of your teeth create the new veneers and bond them back on to your teeth. Check with your doctor immediately if any of the following side effects occur while taking rosuvastatin. Joint pain or swelling.
Muscle pain cramps spasms or stiffness. Patients choose porcelain veneers as an alternative to composite veneers mainly due to long-term performance even after considering postoperative side-effects and irreversible tooth reduction. Common side effects of Venofer include.
See below for a comprehensive list of adverse effects. Applies to iron sucrose. Side effects requiring immediate medical attention.
Along with its needed effects iron sucrose the active ingredient contained in Venofer may cause some unwanted effects. Although not all of these side effects may. Veneers can allow for both shape and color changes can make your teeth stronger than they were and are natural looking and allow for a true smile makeover.
The Biggest Myths in Dental Health. A veneer is a very thin shell or layer of tooth coloured porcelain or composite. It is placed over the outer portions of your teeth to create an illusion of perfect shiny teeth.
It is generally done when a tooth has been damaged by decay or accident or has become discoloured due to some reason. Veneers are not a permanent solution to your. Despite treatment hypokalemia was persistent in some patients.
During long-term follow-up we observed recovery of growth velocity and adequate metabolic and electrolyte balance. However we noticed renal and gastrointestinal complications. 2 patients had a perforated gastric ulcer 1 had a gastric ulcer and gastritis was detected in 3 children.
Because enamel has been removed your tooth may become more sensitive to hot and cold foods and drinks. Veneers may not exactly match the color of your other teeth. Sometimes the placement of dental veneers can be too aggressive on your gums detaching them and putting them at risk for gum disease even if your mouth is otherwise healthy.
Typically you will also notice red inflamed bleeding or receding gums if this is the cause. Researching the full effects of the long-term dangers of marijuana on the brain and body is difficult because cannabis is still a Schedule I drug in the United States which places significant restrictions on the scientific examination and investigation that can be done with the substance. Nonetheless even as the legal and political.
On average veneers last about 10 years and as dental porcelain becomes stronger and more durable their lifespan may increase significantly over the next several years. Of course veneers like natural teeth are still susceptible to damage. While veneers do not make it more likely that youll suffer from cavities they do make it more important than ever that you maintain a good oral hygiene routine.
The teeth under your veneers can still accumulate plaque and tartar which means they may eventually develop tiny holes in them. Experts believe there will be no long-term side effects to the mRNA vaccines. PFIZER AND MODERNA were able to develop their mRNA vaccines against COVID-19.
Rhabdomyolysis can cause severe muscle pain liver damage kidney failure and death. The risk of very serious side effects is extremely low and calculated in a few cases per million people taking statins. Rhabdomyolysis can occur when you take statins in combination with certain drugs or if you take a high dose of statins.