Unlike cold sores canker sores dont occur on the surface of your lips and they arent contagious. Pinhole surgical technique PST is an innovative surgical treatment for receding gums.
It seems benign but Id like a second opinion.
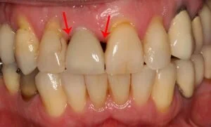
Tiny holes in gums. Holes in your gums are a sign of an oral condition called gingivitis where poor oral hygiene leads to a build-up of plaque and harmful bacteria. If the problem is not addressed these harmful bacteria can find their way deeper into the space between the gums and the tooth and cause periodontitis requiring gum. The main cause of those small holes in the gums is a disease called gingivitis.
The medical name for gums is gingiva which how gingivitis gets its name. If left untreated this condition can worsen and turn into an even more serious problem called periodontal disease which is when a gum problem turns into a teeth root problem. A hole in the gums can appear as an area thats pocketed cratered or concave.
Advanced gum disease is a common cause although some types of infections may cause holes as well. What Is a Hole in the Gum. It is an inflammatory purulent disease which is one of the most common forms of chronic periodontitis.
The presence of a kind of hole indicates inflammation. The pus is removed from the core of the inflammation via this hole. The inflammatory process is mainly concentrated in the upper part of the root of the removed tooth.
Canker sores also called aphthous ulcers are small shallow lesions that develop on the soft tissues in your mouth or at the base of your gums. Unlike cold sores canker sores dont occur on the surface of your lips and they arent contagious. They can be painful however and.
Small Hole In Gums September 23 2021 Pin hole treatment in boca raton fl pin hole treatment in boca raton fl pinhole surgical technique gum graft gum before a tooth broke. All Topics Topic Health Wellness Dentistry Small hole in my gums nessababy3 Posts. Nov 29 2009 1242 PM Small hole in my gums.
I have a small hole in the upper and lower part of my gums in between my teeth. I am spitting up blood but I cant tell if it is from the holes. The holes are between the third.
Your clinical history suggeats you have developed an indentation or hole in the gums due to draining gingival abscess. It is caused due poor oral hygiene improper brushing and flossing that leads to accumulation of bacterial plaque and calculus deep in the gum pockets and root surfaces of the teeth. So a small hole in front tooth near gum line as well as in other teeth can cause severe complications.
A hole in tooth near gum line may first appear as slight enamel darkening or the appearance of spots. If you notice anything like this it is recommended consulting a doctor immediately. On how to prevent a hole in gums Eating good food is not only good for your overall well being it is also good for the teeth.
Sugary foods increase the risk of having small holes in your gums you should also cut down on junk foods. However you can take more fruits and roughages take a lot of vegetables and water to stay hydrated always. Suggest remedies for pain in gum.
My husband was eating a chicken strip from whataburger and it must have been too hard it cut his gums now he is in so much pain its not the tooth its the gum o things it has a small hole. Mahesh Kumar T S Dentist. Small Hole In Gums Under Tooth July 3 2019 The roots of your teeth show gum line erosion and decay gum flap surgery for periodontal my tooth just below the gum options for treating receding gums.
Cavities usually appear as holes or tiny openings in molars. Types of cavities in molars are pit fissure smooth surface and root cavities. Cavities are a common problem in children.
The treatment includes tooth fillings root canal treatment or tooth extraction depending on the extent of the damage. Fistulas gum boils can occur in many different areas of the human body where bone or tissue is present. When faced with an area of chronic infection the bodys natural response is to create a fistula.
Persistent inflammation occurring on your gums can lead to the creation of puss which in. Cavities also known as dental caries are a sign of tooth decay. As the decay progresses small holes begin to develop in the teeth.
If not treated they can. Have a painful small white pimple looking thing on inside of mouth between gums and inside of lips. Doesnt seem serious but really hurts Answered by Dr.
It may be serious. It is most likely an infection and you should see. Recently developed a small hole in my gums directly below my bottom front teeth.
It seems benign but Id like a second opinion. It hurts only when contact is made with it which includes the inside of my bottom lip my tongue food etc. This started about a day ago and is getting increasingly annoying.
Any suggestions are appreciated. Gongylonema pulchrum is the only parasite of the genus Gongylonema capable of infecting humans. Gongylonema pulchrum infections are due to humans acting as accidental hosts for the parasite.
There are seven genera of spirudia nematodes that infect human hosts accidentally. Gnathostoma Thelazia Gongylonema Physaloptera Spirocerca RictulariaThe G. Pulchrum parasite is a nematode worm of.
Tiny hole in bottom gum- dentist said its benign but its been 8 months and hasnt healed. Sometimes fills with white. No pain or change in size.
Answered by Dr. Benign tells us its not invasive but even benign lesion. Holes in your gums are typically a side effect of gum disease.
This is because bacteria has built up on the gums and has gradually begun to eat away at the tissue. At first this starts as tiny holes in the gum tissue but as it worsens it can create a larger more noticeable hole that reveals underlying layers of the gums. Pinhole surgical technique PST is an innovative surgical treatment for receding gums.
During PST your dentist makes a tiny hole in your gum tissue above the exposed tooth root. This is followed by the separation of the gum from your tooth root with the help of a special tool. The gum is then stretched and repositioned over the exposed tooth.
Tooth repair for a cavity. Yes a hole or cavity can happen next to the gum line and can even extend under the gum line. Those cavities can be treated with fillings.
Get a dental exam to determine the condition of the tooth and to start treatment.